An ‘early warning sign’ of dementia that can be detected during standard health scans has been discovered.
This degenerative brain condition is believed to affect over 55 million individuals globally. Alzheimer’s disease is the most prevalent type of dementia, and unfortunately, its incidence is increasing.
According to the Alzheimer’s Association, an estimated 13 million people in the United States may be living with the disease by 2050.
While certain lifestyle choices, such as consuming specific foods and engaging in regular walking, are suggested to help ‘prevent’ Alzheimer’s, some individuals have a higher genetic risk for the condition.
The disease results from the abnormal accumulation of plaques and tangles in the brain, leading to cell death and gradual brain shrinkage.

Initial symptoms of Alzheimer’s disease may include forgetting recent events or conversations.
As the condition progresses, it can lead to significant memory impairment and disrupt a person’s ability to perform daily tasks, according to the Mayo Clinic.
Researchers at Nanyang Technological University in Singapore have recently made a significant discovery.
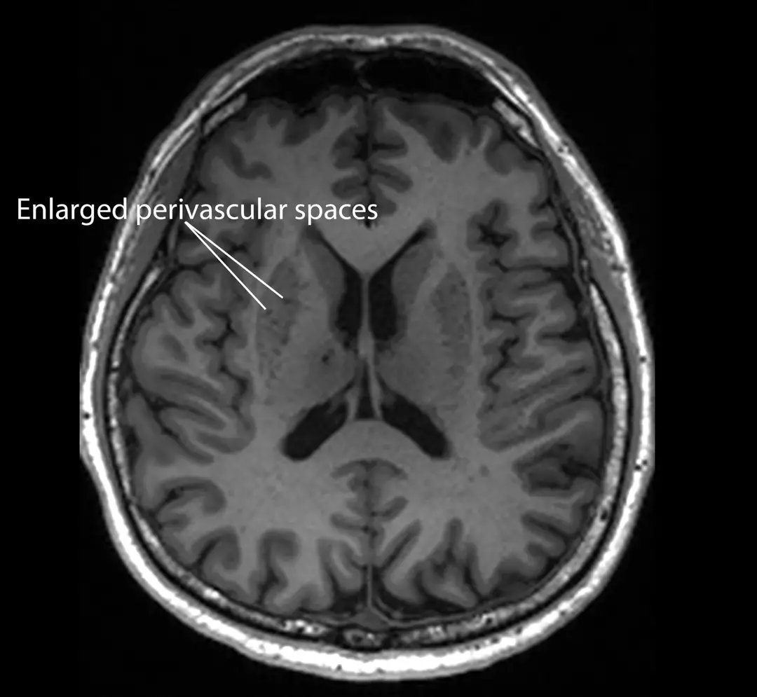
They found that clogged drainage spaces in the brain, which can be seen on scans, are associated with early indicators of dementia.
Individuals with early cognitive difficulties, such as mild memory issues, tend to have these clogged spaces.
These drainage spaces are responsible for removing toxic waste from the brain but can become enlarged when obstructed.
Referred to as enlarged perivascular spaces, they are detectable on standard Magnetic Resonance Imaging (MRI) scans.

There are approximately 40 million MRI scans conducted in the US annually.
These enlarged spaces have been linked to other Alzheimer’s indicators, including increased amyloid plaques, more tau tangles, and signs of brain cell damage.
This observation suggests that the clogging occurs before significant brain damage, making it a promising marker for early detection.
“Since these brain anomalies can be visually identified on routine magnetic resonance imaging (MRI) scans performed to evaluate cognitive decline, identifying them could complement existing methods to detect Alzheimer’s earlier, without having to do and pay for additional tests,” explained Associate Professor Nagaendran Kandiah, who led the study.
The study involved nearly 1,000 participants in Singapore, including approximately 350 individuals without cognitive issues.

Justin Ong, a fifth-year medical student and the study’s first author, mentioned that identifying Alzheimer’s at an earlier stage allows for earlier medical intervention.
This early detection could potentially slow the progression of symptoms such as memory loss, decreased processing speed, and mood changes, as noted by Sci Tech Daily.
The research findings were published in the Neurology Journals in September.
If you’ve been affected by dementia or Alzheimer’s and wish to speak with someone confidentially, reach out to the Alzheimer’s Association at 800.272.3900, available 24 hours a day, seven days a week.

